edragon hat geschrieben:Frauen können nicht immer hohe Hacken tragen. Sie sollten es eher nur selten machen. Nicht nur Fehlstellungen sind die Folge, auch Muskel- und Sehnenverkürzungen.
Na also, nur das glaubt mir hier ja immer Keiner!
http://vernichterforum.de/viewtopic.php?p=29912#p29912
http://vernichterforum.de/viewtopic.php?p=38942#p38942
Die richtige "Mischung" machts, da hast du schon mal Recht. Außerdem habe ich es ja ebenfalls schon oft gesagt, es liegt auch daran, was du für Füße hast. Mit "Götterfüßen" bist du eben mal ganz groß im Vorteil!

Haben aber leider nur 15-20% (?) der Frauen in West-Mittel-Europa.

Der Süden bzw. Osten (und USA) sind da besser dran, und deshalb sieht man da auch viel mehr "Heels".
Beim vorletzten Foto ist es ganz deutlich zu Sehen: Die "Spitzfüße" haben einen geneigten Knickwinkel, der überhaupt nicht zu dem Sandalenriemen paßt. Das arme Mädel wird wohl sogleich die Schuhe von den Füßen geschleudert haben.
Katy Perry (letzes Bild) kann mit Sicherheit problemlos einen ganzen Tag auf "Heels" Laufen (diese Sandaletten sind aber etwas zu eng).
Ich kriege nach einigen Stunden Stadtbummel auf 9-10 cm eher Rückenschmerzen ...

Kann dir aber genauso Passieren in ganz flachen Sneakers, Sandalen und Ballerinas!
(Der "übliche" Absatz bei den meisten Winterstiefeln hat 8 cm. Diese gezeigten Stiefel sind so perfekt, das sieht Frau sofort!! Die wollte sogar Lady Ashton gern haben!

)
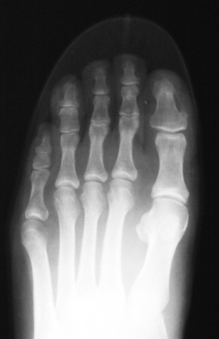
Und, auch das kannst du mir Glauben, nicht jede Frau wird durch ihre Absätze krank. Hallux valgus zum Beispiel entwickelt sich von Kindheit an. Ich kenne Mädchen um 12 Jahre, die haben bisher nur flache Schuhe getragen und sind bereits an der Grenze des operativen Eingriffes.
(Übrigens: Ich wundere mich immer, wenn ich schreckliche Hallux-Füße sehe; die armen Frauen können keine hohen Schuhe Tragen, haben sicherlich große Schmerzen bei Laufen, "versauen" sogar flache Schuhe/Stiefel mit grausigen Beulen. Und, es ist eine unkomplizierte, leichte Operation.

Bei zu kleinen Titten rennen sie schneller zum Doc ...

)
Momentan sind aber schwere allergische Reaktionen auf Schadstoffe in zumeist synthetischen Schuhen sehr häufig und die Spätfolgen ihrer Unnachgiebigleit und Giftigkeit noch nicht absehbar.
Lieber Edragon!
Ich erinnere an deinen Vorschlag
http://vernichterforum.de/viewtopic.php?p=43783#p43783
"Zara stiefeletten 40. Einmal getragen kann aufgrund meines hallux Problems solche Absätze nicht tragen
"
Dabei sind die weichen Schuhe geradezu genial in der Paßform bzw. Höhe und verursachen selbst keine schmerzhaften Probleme. Ist traurig - was?
